Центр современной
стоматологии 32 Счастья
-
5+
Средний опыт
специалистов -
450+
Имплантаций
в год -
100%
Довольных
пациентов
Грачев Денис Алексеевич
Главный врач, стоматолог-хирург, имплантологПреимущества лечения
в 32 счастья
Используем весь свой опыт и самые инновационные разработки в стоматологическом лечении, чтобы ваши зубы были в идеальном состоянии
- Комплексный подход в лечении
- Красота и эстетика вашей улыбки
- Прозрачная ценовая политика
- Вариативность в выборе лечения
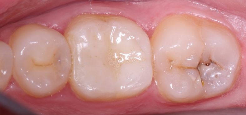
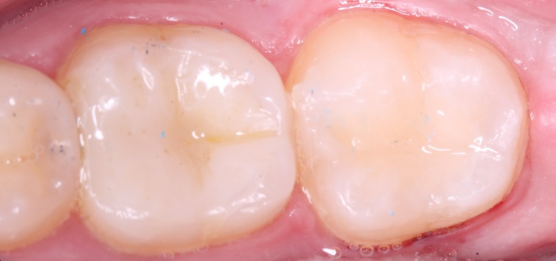
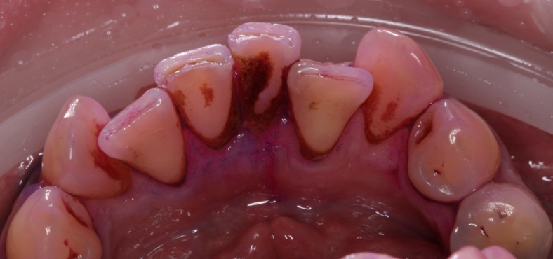
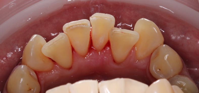
Наши работы
ВсеОтзывы
Все-
Оригинал28.02.2026
Обратилась в стоматологию с болью из-за зуба мудрости. Врач внимательно осмотрел, всё подробно объяснил и предложил удаление. Очень переживала, но процедура прошла быстро и практически безболезненно. После удаления дали подробные рекомендации по уходу. Спасибо врачу и всему персоналу за профессионализм, внимательное отношение и комфортную атмосферу! Обязательно буду рекомендовать эту клинику знакомым.
-
Оригинал25.02.2026
Клиника очень хорошая, вежливый персонал. Врач был просто замечательный. Сделали осмотр, назначили план лечения.
-
Оригинал23.02.2026
Отличная клиника, все очень понравилось, от администратора до врача. Огромное спасибо Хабибрахмановой Аните Ильфатовне за ее профессионализм и доброе отношение к пациентам.
Добро пожаловать
в стоматологию 32 счастья в Казани — пространство, где медицина — это не про страх, а про доверие!
Наша миссия — предоставлять стоматологические услуги высокого уровня в атмосфере внимания и заботы, где каждый пациент чувствует себя спокойно. Профессионализм, индивидуальный подход и внимание к деталям — наш стандарт!
Мы стремимся стать надежным партнером каждого пациента, поддерживая здоровье зубов и десен на всех этапах — от профилактики до сложного лечения.
В нашей клинике представлен полный спектр стоматологических услуг:
• Диагностика: рентген, компьютерная томография
• Лечение кариеса, каналов, пульпита, дёсен и кисты зуба
• Имплантация, протезирование, коронки
• Виниры и люминиры
• Ортодонтия: брекеты и элайнеры
• Хирургия: удаление зубов и костная пластика
• Лечение под микроскопом и восстановление зубов
• Эстетическая стоматология и отбеливание
• Профессиональная гигиена
Мы используем передовые технологии и проводим всю диагностику на месте — быстро, без стресса и без необходимости посещать другие учреждения. Это позволяет точно определить проблему, разработать персональный план лечения и достичь идеального результата.
Каждый специалист стоматологии 32 Счастья — признанный эксперт в своей области. Наши врачи не просто выполняют свою работу, они искренне любят её и заботятся о каждом пациенте. Мы уверены: только профессионализм, внимание и тёплое отношение могут подарить по-настоящему здоровую и счастливую улыбку.
Видеоблог
ВсеТехнологии





