Центр современной
стоматологии в Казани
-
5+
Средний опыт
специалистов -
450+
Имплантаций
в год -
100%
Довольных
пациентов
Грачев Денис Алексеевич
Главный врач, стоматолог-хирург, имплантологПреимущества лечения
в 32 счастья
Используем весь свой опыт и самые инновационные разработки в стоматологическом лечении, чтобы ваши зубы были в идеальном стостоянии
- Комплексный подход в лечении
- Красота и эстетика вашей улыбки
- Прозрачная ценовая политика
- Вариативность в выборе лечения
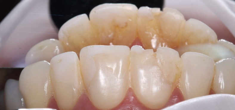
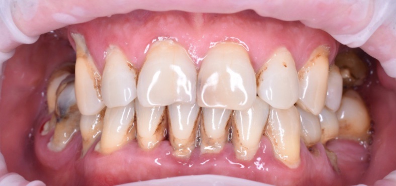
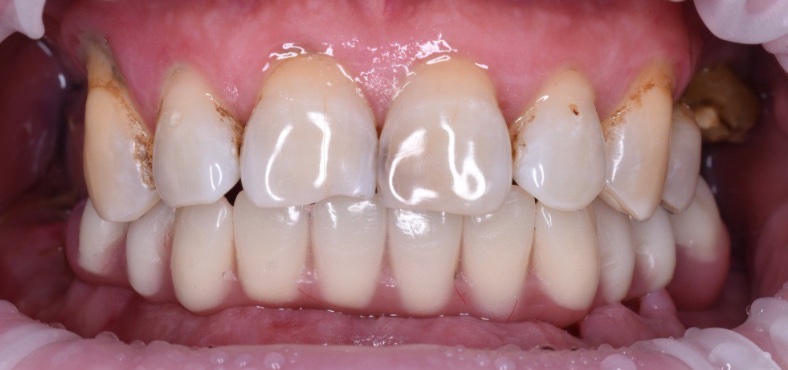
Наши работы
ВсеОтзывы
Все-
Оригинал27 октября 2025
Давно искала достойную стоматологию. «32 Счастья» — то что нужно! Оборудование новейшее, врачи профессиональные. Денис Алексеевич удалил зуб мудрости — даже не почувствовала. Рекомендую!
-
Оригинал20 октября 2025
Прекрасный врач и современная стоматология! Хочу выразить огромную благодарность врачу-стоматологу Диане Равилевне! Попала к ней по рекомендации и ни разу не пожалела. Лечила глубокий кариес. Процедура прошла абсолютно безболезненно, благодаря современной анестезии и аккуратной работе врача. Очень понравилось, что во время лечения постоянно интересовались моим самочувствием. Отдельное спасибо за эстетический результат! Пломбу подобрали идеально под цвет зуба, сейчас ее вообще не видно. Цены в клинике адекватные, полностью соответствуют качеству. Рекомендую!
-
Оригинал20 октября 2025
Обратилась к стоматологу с проблемой кариеса сразу нескольких зубов. Неудачно проведенное лечение у другого врача привело к воспалению. Анита Ильфатовна очень внимательно отнеслась к проблеме. Назначила КТ челюсти и тщательно провела диагностику. Выявила скрытые проблемы.
Понравилось
Хочу отметить особую тщательность и педантичность Аниты Ильфатовны. Лечение проводится скрупулезно. Врач не торопится и все перепроверяет. Надо сказать, что Анита Ильфатовна прекрасно реставрирует сколы и восстанавливает форму сложных зубов. Внешний вид вылепленных ею зубов совершенно неотличим от собственных. Вылечивает самые сложные кариозные случаи. Коронку ставила на почти безнадёжный сложный зуб, коронка стоит уже 5 лет. Очень внимательно относится к состоянию пациента во время процедуры лечения. Таких стоматологов и специалистов очень мало.
Добро пожаловать
в «32 счастья» — пространство, где медицина — это не про страх, а про доверие!
Наша миссия — предоставлять стоматологические услуги высокого уровня в атмосфере внимания и заботы, где каждый пациент чувствует себя спокойно. Профессионализм, индивидуальный подход и внимание к деталям — наш стандарт!
Мы стремимся стать надежным партнером каждого пациента, поддерживая здоровье зубов и десен на всех этапах — от профилактики до сложного лечения.
В нашей клинике представлен полный спектр стоматологических услуг:
• Диагностика: рентген, компьютерная томография
• Лечение кариеса, каналов, пульпита, дёсен и кисты зуба
• Имплантация, протезирование, коронки
• Виниры и люминиры
• Ортодонтия: брекеты и элайнеры
• Хирургия: удаление зубов и костная пластика
• Лечение под микроскопом и восстановление зубов
• Эстетическая стоматология и отбеливание
• Профессиональная гигиена
Мы используем передовые технологии и проводим всю диагностику на месте — быстро, без стресса и без необходимости посещать другие учреждения. Это позволяет точно определить проблему, разработать персональный план лечения и достичь идеального результата.
Каждый специалист «32 счастья» — признанный эксперт в своей области. Наши врачи не просто выполняют свою работу, они искренне любят её и заботятся о каждом пациенте. Мы уверены: только профессионализм, внимание и тёплое отношение могут подарить по-настоящему здоровую и счастливую улыбку.
Технологии





